Стоматология экспертного уровня в Краснодаре

Имплантация зубов
за 2 визита

Имплантация зубов "под ключ" от врачей со стажем 15+ лет.

Врач стоматолог

Live

14 записей сегодня

Почему выбирают 32.Стом

Мы объединили экспертность врачей и космические технологии, чтобы ваше лечение было безболезненным и предсказуемым.

Имплантация за 1 день

Собственная зуботехническая лаборатория позволяет установить временную коронку сразу после операции.

Пожизненная гарантия

Мы уверены в качестве и фиксируем юридическую ответственность за результат в договоре.

Цифровой протокол

3D-планирование операции исключает ошибки. Видите результат еще до начала лечения.

Результаты наших пациентов

Каждая работа — это сочетание цифрового планирования и мастерства врачей. Посмотрите, как меняется жизнь людей после визита к нам.

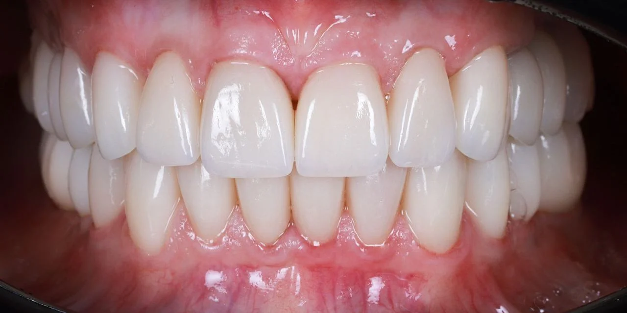
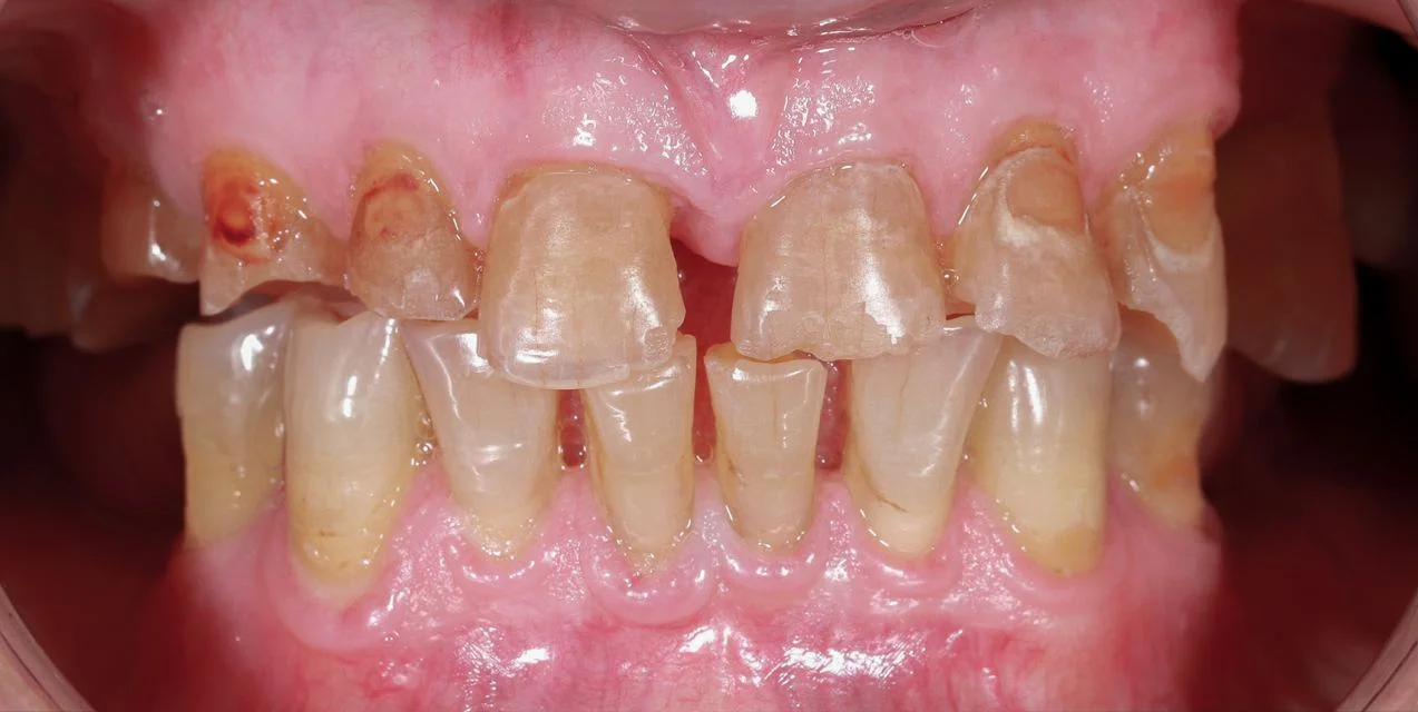
После До
Результат

Тотальное восстановление (All-on-4)

Стоимость

274 000 ₽

Кейс: восстановление улыбки после долгих лет со съёмными протезами. Пациент много лет пользовался съёмными протезами и из-за сильного страха откладывал лечение.

1 день
Гарантия успеха 99,2%
После До
Результат

Цифровой дизайн улыбки (Виниры)

Стоимость

33 000 ₽

Комплексная реабилитация зубов и сустава. Пациентка обратилась с жалобами на боль и щелчки в области височно-нижнечелюстного сустава.

5 дней
Гарантия успеха 99,2%

Что говорят наши пациенты в Краснодаре

Мы гордимся тем, что 98% наших пациентов рекомендуют нас своим близким.

Читать все на Яндекс.Картахв Краснодаре

"Отличный сервис в Краснодаре!"

Александр

01.01.2026

Яндекс

Рассчитайте стоимость имплантации в Краснодаре за 1 минуту

Пройти тест →
Шаг 1 20%

Какая услуга вас интересует?

Вашей улыбкой займутся профи

Врачи в Краснодаре с опытом от 10 лет, регулярно проходящие стажировки в Европе.

Константинопольский А.В.

Главный врач

Стаж: 15 лет • более 3000 операций

Иванов И.И.

Хирург

Стаж: 12 лет • эксперт по имплантации

Наша клиника

Светлый, просторный ресепшн
Современное кресло и идеальная чистота
Уютные кресла, где пациенту будет спокойно.
Оборудование для имплантации

Прозрачная стоимость в Краснодаре

Никаких скрытых платежей. В цену уже включены все необходимые этапы.

Выбор пациентов

Корейский стандарт

Osstem (Юж. Корея)

от 35 000 ₽

Самый популярный имплант в мире с приживаемостью 98.8%

  • Имплант Osstem
  • Установка под ключ
  • Анестезия
  • Пожизненная гарантия
Выбрать систему

Швейцарский премиум

Straumann (Швейцария)

от 140 000 ₽

Ультра-тонкие импланты, возможна нагрузка сразу после установки

  • Имплант Straumann
  • Установка экспертом
  • Цифровое планирование
  • Ускоренное заживление
Выбрать систему
%

Доступна рассрочка 0% без первого взноса до 12 месяцев

Полезная информация

Ответы на популярные вопросы

Имплантация — это больно?
Совершенно нет. Мы используем современную местную анестезию, которая полностью блокирует болевые ощущения. По ощущениям это не сложнее, чем обычное лечение кариеса, только результат на всю жизнь.
Что если имплант не приживется?
Статистика приживаемости систем Osstem и Straumann в нашей клинике — 99.2%. Если же случится редкое исключение, мы проводим повторную установку абсолютно бесплатно по условиям нашей пожизненной гарантии.
Можно ли восстановить зубы за один день?
Да, при использовании протокола All-on-4 или немедленной нагрузки. Вы приходите в клинику, мы устанавливаем импланты и фиксируем временный адаптационный мост. Вы уходите с новой улыбкой в тот же день.
Есть ли скрытые платежи в стоимости?
Нет, мы работаем по системе «Все включено». В плане лечения, который вы получаете после КТ-диагностики, прописана итоговая сумма. Она фиксируется в договоре и не меняется в процессе лечения.

Остались вопросы?

Наш администратор проконсультирует вас лично

Задать вопрос в Телеграм